YOUR DENTAL IMPLANT SPECIALISTS
Schedule Your FREE Dental Implant Consultation and get started today!
Dental Implants are a core focus of our practice.
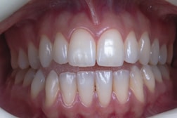
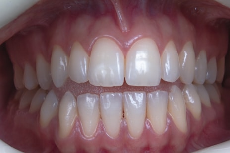
Specializing in dental implant services means we take an implant-first approach—from diagnosis through final restoration. Your consultation is built around implant-specific planning, including evaluation of bone support, bite function, and the restoration type that best fits your goals. Whether you need a single implant, an implant-supported bridge, or a full-arch solution, we design treatment for long-term stability, comfort, and a natural-looking result.
Because implants are a long-term investment, our process is built for predictability: clear sequencing, restoration-driven planning, and straightforward maintenance guidance. You’ll leave with practical options, a realistic timeline, and a plan you can make decisions around—so you can eat confidently, speak clearly, and stop worrying about shifting dentures or visible gaps.




Crown Dental Implants, a Texas Dental Partners service, provides dental implant solutions for patients across Houston, San Antonio, and Central Texas, with a strong local focus in Lockhart and surrounding communities. We routinely serve patients from Lockhart, Luling, Uhland, Martindale, Stockdale, and Seguin, offering solutions ranging from single-tooth replacement to implant-supported bridges, dentures, and full-arch restoration—built around stable function, natural aesthetics, and long-term oral health.
Many patients choose to travel for the right team and a clear plan. Whether you’re coming from Houston, San Antonio, or nearby towns, your first step is a consultation that clarifies candidacy, timelines, and the best-fit path forward. If you’re ready for a fixed solution that feels secure and looks natural, schedule your implant consultation and we’ll map out next steps.
Dental Implant Services
Dental Implants in Houston, TX; Lockhart, TX; Stockdale, TX
Get a stable, natural-looking tooth replacement plan built around your health, timeline, and budget—serving Houston, Lockhart, Luling, Uhland, Martindale, Stockdale, Seguin, and San Antonio.
Comprehensive dental implant solutions
Implant-focused care
Schedule a FREE Dental Implant Consultation
Contact Us Today!
(512) 213-4663
© 2026 Crown Dental Implants
(832) 974-0015
HOUSTON LOCATION
6400 Hillcroft St Ste 104 Houston, TX 77081
LOCKHART LOCATION
1711 S Colorado St Ste D Lockhart, TX 78644
STOCKDALE LOCATION
(830) 996-3635
3567 TX-123 Stockdale, TX 78160
